Odontologia Lucena

  • Home
  • Serviços
  • Sobre
  • Agendar agora
An Appointment

Sorriso saudável para toda família

  • Atendimento domiciliar
  • Cirurgias
  • Implantes
  • Próteses
  • Manutenção de protocolos
  • Coroas
  • Periodontia
  • Pacientes PNE
  • Pediatria
  • Frenectomias a laser
  • Clareamentos
  • Plaquinhas de bruxismo
  • Limpezas

12 M+

Happy Patients

Vida saudável começa pela Boca

Notícias

🦷A saúde bucal vai muito além de um sorriso bonito — ela faz parte da sua saúde como um todo. Uma boca saudável permite mastigar, falar, dormir e viver sem dor ou desconforto, e está diretamente relacionada ao bem-estar físico e à qualidade de vida…
https://www.who.int/health-topics/oral-health

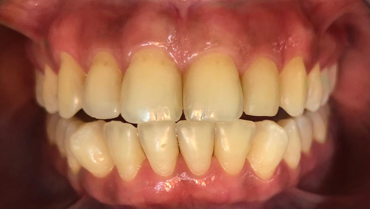
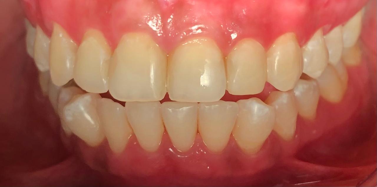
Antes & Depois

Resultados de pessoas reais

Antes

Depois

Tratamento:

Clareamento Caseiro

Resultado:

2 semanas de aplicação

Antes

Depois

Tratamento

Clareamento de consultório

Resultado:

Imediato

ESPECIALIDADES

PNE

O atendimento odontológico a pacientes com necessidades especiais é realizado de

forma humanizada, segura e individualizada, respeitando os limites e proporcionando

conforto e cuidado em todas as fases do tratamento.

Pediatria odontológica

O cuidado odontológico infantil é essencial desde os primeiros anos de vida. Com

atendimento humanizado e adaptado à criança, promovemos prevenção, conforto e

saúde bucal desde cedo.

Prótese dentária

A prótese dentária tem como objetivo restaurar a função mastigatória, a estética

e o conforto do sorriso, devolvendo qualidade de vida e bem-estar ao paciente.

Implantodontia

É responsável por devolver função, estética e qualidade de vida por meio de

implantes dentários, proporcionando mais conforto, segurança e confiança ao sorrir.

Periodontia

A periodontia é a especialidade responsável pela prevenção e tratamento das

doenças da gengiva, promovendo saúde bucal, estabilidade dos dentes e bem-estar

geral.

Endontontia

A endodontia é a área da odontologia responsável pelo tratamento do canal, indicado

para eliminar dor, infecção e preservar o dente natural sempre que possível.

O que nossos pacientes falam sobre nós

Um pouco do nosso dia a dia…

Prótese Protocolo

Fotografia Odontológica

Atendimento Home Care

Frenectomia lingual

Clareamento de consultório

Prótese total

Prótese convencional

Atendimento PNE

Odontologia Lucena

Sou cirurgiã-dentista com residência em Saúde da Família e atuação nas áreas de implantodontia, prótese e periodontia. Realizo atendimento odontológico humanizado, incluindo home care, para pacientes de todas as idades, com foco em conforto, segurança e qualidade de vida.

Agende agora
Contatos

Espirito Santo / Brasil

(27)9.9849-5853

atendimento@odontologialucena.com

Galeria

FSE Dental Clinic Theme. All Right Reserved.

.

Powered by
...
►
Necessary cookies enable essential site features like secure log-ins and consent preference adjustments. They do not store personal data.
None
►
Functional cookies support features like content sharing on social media, collecting feedback, and enabling third-party tools.
None
►
Analytical cookies track visitor interactions, providing insights on metrics like visitor count, bounce rate, and traffic sources.
None
►
Advertisement cookies deliver personalized ads based on your previous visits and analyze the effectiveness of ad campaigns.
None
►
Unclassified cookies are cookies that we are in the process of classifying, together with the providers of individual cookies.
None
Powered by

WhatsApp us